Observation de la mitose au laboratoire -1ère Bac Français

dim., 26 oct. 2025
Publié dans Lycée - section française

 

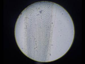
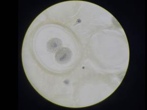
Les élèves de 1ère Bac Français, se sont rendus récemment au laboratoire pour observer les différentes phases de la mitose.

Répartis en petits groupes, ils ont utilisé des microscopes optiques pour examiner des cellules animale (l’ascaris) et végétales (l’oignon). Ils ont appris à manipuler l’appareil, à ajuster les grossissements et à réaliser une mise au point précise, ce qui leur a permis d’appréhender concrètement le déroulement de la mitose et les mécanismes de la division cellulaire.

Cette activité a permis aux élèves de consolider leurs connaissances sur la division cellulaire tout en développant leur précision et leur aisance dans les manipulations de laboratoire.

Comp 1_00014.jpg
995 KB
Voir
Comp 1_00015.jpg
990 KB
Voir
Comp 1_00016.jpg
988 KB
Voir
Comp 1_00017.jpg
986 KB
Voir
Comp 1_00018.jpg
998 KB
Voir
Comp 1_00019.jpg
1 010 KB
Voir
Comp 1_00020.jpg
999 KB
Voir
Comp 1_00021.jpg
1 006 KB
Voir
Comp 1_00022.jpg
1 001 KB
Voir
Comp 1_00023.jpg
994 KB
Voir
Comp 1_00024.jpg
984 KB
Voir
Comp 1_00025.jpg
987 KB
Voir
Comp 1_00026.jpg
968 KB
Voir
Comp 1_00027.jpg
995 KB
Voir
Comp 1_00028.jpg
972 KB
Voir
Comp 1_00029.jpg
991 KB
Voir
Comp 1_00030.jpg
996 KB
Voir
Comp 1_00031.jpg
985 KB
Voir
Comp 1_00032.jpg
989 KB
Voir
Comp 1_00033.jpg
995 KB
Voir

Nom
Titre
Commentaire